Last Updated on Aralık 23, 2025 by CNNTURK
Yabancı maddeleri midesinde taşıdı. Sonra da şiddetli ağrıyla hastaneye koştu. Az daha canından oluyordu.

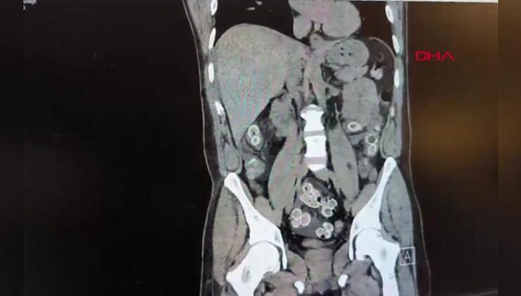
Fas’tan uçakla Türkiye’ye gelen bir kişi, mide ağrısı şikayetiyle özel hastaneye gitti. Şüphelinin mide ve bağırsaklarında uyuşturucu madde tespit edildi.
Hastane yetkilileri durumu polise ekiplerine bildirdi. Hızla ameliyata alınan şüphelinin midesinden 49 adet paketlenmiş, toplam 259 gram ağırlığında uyuşturucu madde çıkarıldı.

Tedavisinin ardından taburcu edilen şüpheli, emniyetteki işlemlerin ardından adliyeye sevk edildi ve çıkarıldığı mahkemece tutuklandı.
1
SON DAKİKA HABERİ: İran Büyükelçisi Dışişleri Bakanlığına çağrıldı – CNN TÜRK Son Haberler
1062 kez okundu
2
Zihni uyandırmak: Nawāl al-Saʿdāwī ile eğitim, isyan ve umut
385 kez okundu
3
Yaren Leylek 15. kez Adem Amcanın kayığına kondu – Günün Haberleri CNN Türk | Video
206 kez okundu
4
Beyoğlu Belediyesi Başkanvekili seçimini CHP’nin adayı Karaahmetoğlu kazandı: Beni burada gördüğünüz her gün demokrasinin utancını hep beraber yaşayacağız
187 kez okundu